【記者李寶琴/羅東報導】
近期寒流連番來襲,感冒患者與日俱增,宜蘭縣一名45歲婦人因發燒、咳嗽服藥1個月未見改善,至醫院X光檢視,發現其肺部已大片泛白嚴重浸潤、衰竭,經緊急於24小時內幫婦人裝置葉克膜,歷經20幾天搶救,才將婦人從鬼門關拉回。
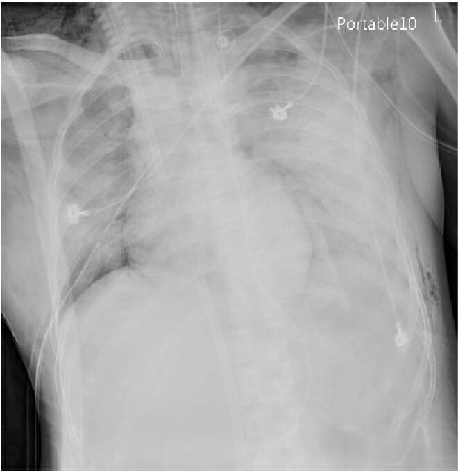
婦人的X光顯示肺部已大片泛白嚴重浸潤、衰竭(示意圖)
葉克膜能暫時替代患者的心肺功能
起初婦人以為是一般感冒不以為意,先至地方診所就醫,直到服用感冒藥物一個月後仍出現咳嗽、發燒且四肢無力症狀,甚至其肺部已產生嚴重衰竭狀況緊急,家人乃緊急將其送醫。
病人接受葉克膜置入在醫療團隊的照顧下逐漸穩定(示意圖,非當事人)
羅東博愛醫院盧進德副院長表示,此個案在發病前未接踵流感疫苗,雖為併發重症病患,進行過兩次流感快篩,皆顯示陰性,但由於已出現肺炎情形,因此推估應為類流感引起,緊急裝置葉克膜並送進ICU加護病房照護,並及時施以克流感藥劑治療。
在接受治療後,原肺部發炎的泛白已消失無蹤(示意圖)
執行裝置葉克膜的羅東博愛醫院心臟血管外科主任賴韋良表示,個案到院時肺部已呈現嚴重呼吸衰竭,即便已經使用呼吸器,氧氣濃度調到百分之百,但是他的血氧濃度還是不到60%,才會使用葉克膜支持婦人的心肺功能。在醫療團隊的照顧下終於在順利拔除管路回到呼吸照護中心休養,目前已康復出院。
賴韋良指出,目前該院ECMO團隊葉克膜使用存活率高達47.8%,高於全台平均成功存活率33.4%,救治的病人從3歲到92歲病人都有,去年即有26人使用葉克膜,其中11個為ARDS(急性呼吸窘迫症候群)。
目前流感疫情仍不斷傳出,賴韋良主任表示今年流感威力較強,需要使用葉克膜的病患恐有增加的趨勢,葉克膜能暫時替代患者的心肺功能,減輕患者心肺負擔之外,也能為醫療人員爭取更多救治時間。目前該院設有兩台葉克膜機,ECMO團隊提供24小時的服務,團隊成員包括心臟血管外科醫師、外科技術員、加護醫學科、外科加護病房全體護護理師,其中全台僅有不到200位的「體外循環師」,在博愛醫院就有兩位,也是宜蘭縣唯一兩位。
盧進德副院長特別呼籲,快篩並非類流感的唯一診斷方法,民眾若發現自己有類似流感的症狀,例如發高燒、呼吸道症狀、或家中親人、辦公室同事已有流感病例,自己也感覺身體不舒服,可多加善用醫療院所開設的類流感門診切勿輕忽流行性感冒的嚴重性,平時應落實勤洗手及注意呼吸道衛生。提醒民眾流感重症的病程變化很快,當出現發高燒、呼吸喘等症狀,即使非流感危險族群,仍不可小看流感的威力。
放置葉克膜的重要關鍵人物,左起心臟血管外科賴韋良主任、張渲翊體循師、陳易澤體循師